Заболевания десен – группа болезней, характеризующихся поражением тканей десны. Пациенты жалуются на гиперемию, отечность десен, кровоточивость во время чистки. При гипертрофическом гингивите возникает гиперплазия десневого края. В случае язвенно-некротических заболеваний десен выявляют участки поражения, покрытые серо-зеленым налетом. Интерпроксимальные сосочки зияют. Диагностика заболеваний десен сводится к сбору жалоб, составлению анамнеза заболевания, проведению клинического и рентгенологического исследований. Лечение включает санацию полости рта, устранение местных раздражающих факторов, повышение местной и общей резистентности организма.
Заболевания десен

Заболевания десен – воспаление десневого края инфекционного (бактериального, вирусного, кандидозного) или травматического происхождения, протекающее без нарушения целостности зубоэпителиального прикрепления. Выраженный прирост показателя распространенности заболеваний десен приходится на период полового созревания, что связано с изменением гормонального фона у подростков. Исследования показали, что после 60 лет частота диагностирования гингивита достигает 100%. Заболевания десен чаще встречаются у представителей мужского пола, что объясняется неудовлетворительным уровнем гигиены, наличием вредных привычек. В прогностическом отношении при своевременно начатом комплексном лечении заболеваний десен удается полностью купировать воспаление, предотвратить вовлечение в патологический процесс тканей пародонта.
Причины заболеваний десен
Основными местными причинами заболеваний десен являются твердые и мягкие зубные отложения. Вследствие токсического воздействия на ткани десны продуктов жизнедеятельности микроорганизмов, входящих в состав зубной бляшки, развивается катаральная форма гингивита. Также встречаются заболевания десен вирусного, микотического, бактериального (фузоспирохетозного) генеза. Механические, термические и химические раздражители способны спровоцировать развитие воспаления с преобладанием экссудативного компонента. Продуктивные гиперпластические процессы возникают при прогестеронзависимом гингивите. Данная форма заболеваний десен встречается преимущественно в пубертатном периоде, во время беременности, а также при приеме гормональных препаратов.
Форсированное ортодонтическое лечение с применением высоких сил также вызывает гиперплазию десны. Наряду с первичным воспалением выделяют вторичные (симптоматические) заболевания десен, проявляющиеся при гиповитаминозе, эндокринных нарушениях, болезнях крови, патологиях органов пищеварительной системы. К местным предрасполагающим факторам, способствующим развитию гингивита, относят патологии прикуса, скученность зубных рядов. При остром течении заболеваний десен ткани становятся отечными, появляются зоны кровоизлияний. Вокруг кровеносных сосудов сосредотачиваются клетки воспалительного инфильтрата: лимфоциты, гистиоциты. Микроскопически при хроническом гингивитенаблюдается созревание грануляций, замещение коллагеновых волокон грубой соединительной тканью. Скопления лейкоцитов представлены в незначительном количестве.
Классификация заболеваний десен
В стоматологии различают три группы заболеваний десен:
1. Заболевания десен, спровоцированные патогенной микрофлорой зубной бляшки. К этой категории относят также симптоматический гингивит, свидетельствующий о наличии фоновой соматической патологии.
2. Заболевания десен травматической или инфекционной этиологии (вызванные вирусами простого герпеса, дрожжевыми грибами). Различают также гингивит ятрогенного происхождения, развивающийся при нарушении протокола лечения пациентов.
3. Язвенно-некротические заболевания десен. Возникают на фоне сниженной местной и общей реактивности организма вследствие активизации микробной ассоциации, состоящей из фузобактерий и спирохет. Гингивит Венсана чаще выявляют у мужчин в возрасте до 30 лет.
По локализации воспаления различают поражения интерпроксимальных сосочков, маргинального края и альвеолярной десны. По распространенности патологический процесс может быть локализованным или генерализованным.
Симптомы заболеваний десен
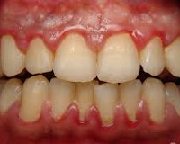
При катаральном гингивите десна становится отечной, гиперемированной. Нередко пациенты жалуются на кровоточивость при приеме жесткой пищи или во время чистки зубов. Заболевания десен, протекающие с преобладанием продуктивного компонента, сопровождаются разрастанием десневого края. Маргинальная десна приобретает валикообразную форму. Отмечается неприятный запах изо рта. При язвенно-некротических заболеваниях десен выявляется поражение межзубных сосочков. При прогрессировании воспалительного процесса зона некроза распространяется на маргинальную часть. В ходе осмотра выявляют некроз десневого края. При попытке удалить грязно-серый налет обнажается кровоточащая болезненная поверхность. Общее состояние у пациентов с язвенно-некротическими заболеваниями десен ухудшается. Наблюдается гипертермия, нарушение сна, отсутствие аппетита. Регионарные лимфатические узлы увеличены.
Десквамативная форма гингивита протекает с образованием участков слущивания эпителия на фоне воспаленной десны. Если причиной заболеваний десен является герпетическая инфекция, во время инкубационного периода появляется ощущение жжения слизистой. В течение последующих 1-2 дней на слизистой возникают пузырьки, которые очень быстро вскрываются, вследствие чего образуются эрозии. При тяжелой форме происходит повторное подсыпание элементов поражения. При осмотре удается выявить не только пузырьки, но и эрозии, корки. Наблюдается повышение температуры, регионарный лимфаденит.
При микотических заболеваниях десен на слизистой обнаруживают белесоватый налет, который легко снимается шпателем или ватным шариком, но в течение небольшого отрезка времени появляется снова. Пациентов беспокоит зуд, жжение, сухость слизистой. При механическом повреждении на десне образуется эрозивный участок. При воздействии термического фактора возникает десквамация поверхностного эпителия. Также возможно отторжение тканей десны с формированием язвенной поверхности. Заболевания десен, развивающиеся в результате контакта слизистой со щелочью, протекают с формированием зоны колликвационного некроза. Участок поражения распространяется как в глубину, так и в ширину. Коагуляционный (сухой) некроз наблюдается при воздействии кислот.
Диагностика заболеваний десен
Диагностика заболеваний десен сводится к сбору жалоб, составлению анамнеза, проведению клинического осмотра и дополнительных методов исследования. В ходе физикального обследования при заболеваниях десен выявляют отечность, гиперемию десневого края. При гипертрофическом гингивите врач-стоматологобнаруживает утолщение и разрастание десны. При язвенно-некротических заболеваниях десен определяют серо-зеленые наслоения, которыми покрыта маргинальная часть десны. При удалении налета оголяется болезненная кровоточащая эрозивная поверхность.
В большинстве случаев индекс гигиены Федорова-Володкиной у пациентов с заболеваниями десен неудовлетворительный. При осмотре отмечают множественные над- и поддесневые отложения, кариозные дефекты. Проба Шиллера-Писарева при заболеваниях десен положительная. Окрашивание ткани десны в желто-коричневый цвет после нанесения йодсодержащих препаратов подтверждает развитие воспалительного процесса. С помощью индекса PMA определяют уровень поражения. При воспалении интерпроксимальных сосочков значение показателя составляет 25%, при вовлечении в патологический процесс маргинального края PMA – 50%. В случае заболеваний десен, сопровождающихся поражением альвеолярной части, значение превышает 50%. Для диагностики герпетической инфекции показаны вирусологический тест, иммунохимический и цитологический анализы.
Микотическую этиологию заболеваний десен устанавливают методом бактериоскопии. Выявление в мазке почкующихся клеток и нитей псевдомицелия подтверждает развитие кандидозного гингивита. В отличие от пародонтита, при гингивите деструктивные изменения костной ткани на рентгенограмме отсутствуют. Дифференцируют заболевания десен с воспалительными и дистрофическими болезнями пародонта. Пациента обследует стоматолог-терапевт. При подозрении на развитие симптоматического (вторичного) гингивита показаны консультации терапевта, гематолога, эндокринолога, гастроэнтеролога.
Лечение заболеваний десен
Лечение заболеваний десен направлено на устранение микробной контаминации, ускорение процессов регенерации. С этой целью проводят санацию полости рта – процедуры профессиональной гигиены, лечение кариеса и его осложнений. При нерациональном протезировании показано повторное ортопедическое лечение. Местно при заболеваниях десен назначают полоскания полости рта антисептическими растворами на основе хлоргексидина биглюконата. Хорошей противовоспалительной активностью обладают отвары лекарственных трав. Лечение язвенно-некротических заболеваний десен состоит из следующих этапов: обезболивания, антисептической обработки, удаления некротизированных тканей, стимуляции процессов эпителизации.
При заболеваниях десен, сопровождающихся гиперплазией, проводят гингивэктомию. Этиотропная терапия герпетического поражения включает применение противовирусных препаратов, проявляющих активность относительно внутриклеточных вирусов. Общее лечение включает иммуномодуляторы, десенсибилизирующие средства, поливитаминные комплексы. При заболеваниях десен микотической природы назначают противогрибковые препараты. При гингивите травматического происхождения показаны полоскания полости рта антисептическими растворами, а также использование кератопластиков в виде аппликаций. Прогноз при заболеваниях десен благоприятный. При раннем выявлении и комплексном лечении удается купировать воспаление, предотвратить вовлечение в патологический процесс тканей пародонта.
